Av. Adhemar de Barros, 1403 - Jardim São Dimas - São José dos Campos - SP
Tel.: (12) 3307-0070
WhatsApp: (12) 99179-6081
FUNDOSCOPIA - CLEARVIEW
Com uma câmera de fundo de olho (Clearview), é feita avaliação das imagens, levando em consideração:
FUNDO DE OLHO NORMAL DE UM CÃO DE OLHOS AZUIS
FUNDO DE OLHO NORMAL DE UM CÃO DE OLHOS CASTANHOS
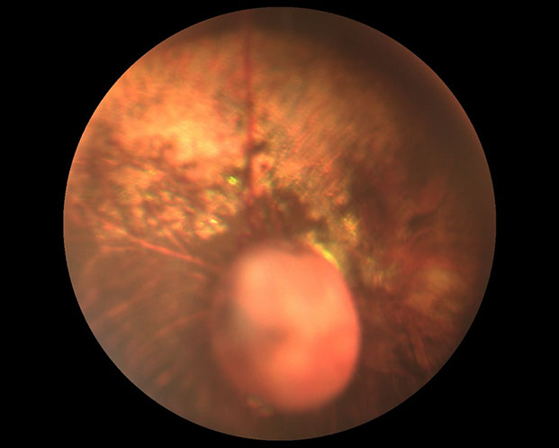
DOENÇA RETINIANA: COLOBOMA DE NERVO ÓPTICO